(718) 894-2110 Most insurances accepted
80-28 Cooper Ave Glendale, NY 11385

Smile Gallery

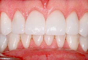
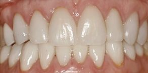
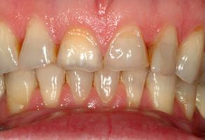
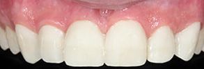
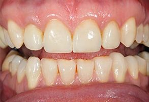
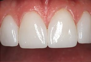
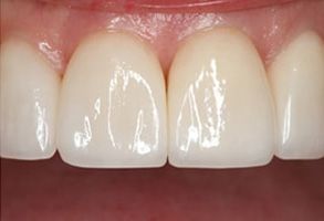
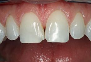
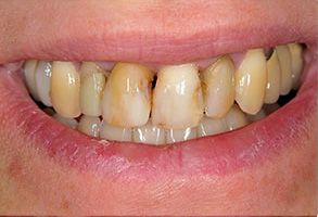
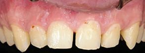
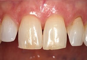
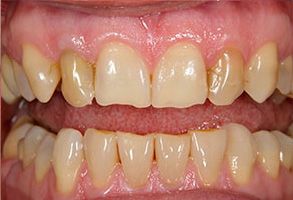
View before & after pictures of our satisfied patients which illustrate some of the most common procedures in our dental office and in modern dentistry in general. These images can serve as a valuable starting point for conversations with your dental healthcare provider.

Page Updated on Dec 18, 2025 by Dr. Victoria Kushensky, DDS (Dentist) of Atlas Park Dental
Victoria Kushensky D.D.S

My name is Victoria Kushensky. I am a general dentist dedicated to remaining at the forefront of my field. Combining compassionate care with extensive knowledge, I offer cosmetic and general dentistry services as well as advanced root canal treatments.

I earned my Doctor of Dental Surgery (DDS) degree from the esteemed New York University College of Dentistry. Throughout my career, I have honed my skills in various dental procedures, ensuring effective treatment for each patient’s unique needs. I prioritize patient comfort and understanding, taking the time to thoroughly explain procedures and address any questions.

More about Dr. Kushensky

Atlas Park Dental
80-28 Cooper Ave #207
Glendale, NY 11385
(718) 894-2110